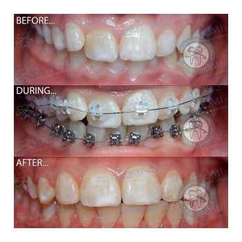
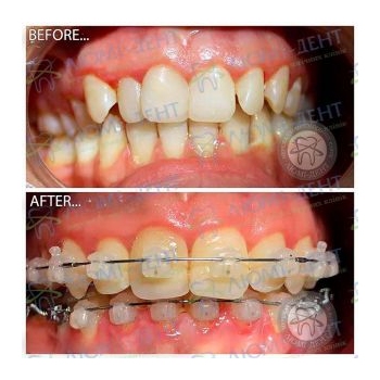
Фото лица пациентов до и после брекетов
Здесь Вы можете посмотреть фото после выравнивания зубов брекет-системами на челюстях, в сети стоматологических клиник «Люми-Дент» в Киеве.
Брекеты:
- металлические;
- керамические;
- сапфировые;
- лингвальные;
- частичные;
- комбинированные;
- лигатурные;
- безлигатурные;
- самолигирующие, -
- до сих пор являются наиболее эффективной технологией выравнивания неправильного смыкания челюстей (прикуса).
По скорости эффекта и возможностям исправления значительных патологий зубного прикуса - брекеты опережают другие виды технологий в ортодонтии:
- ортодонтические аппараты;
- прозрачные капы (элайнеры).
Брекеты для зубов (самолигирующие, керамические, и другие) по-прежнему являются наиболее эффективной и быстрой технологией выравнивания неправильного прикуса:
- на нижней челюсти;
- на верхней челюсти.
Фото - врач ортодонт Коржев Руслан с пациенткой после наклейки керамических брекетов на зубы, Киев, стоматология Осокорки.
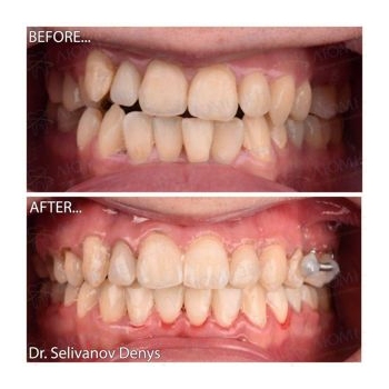
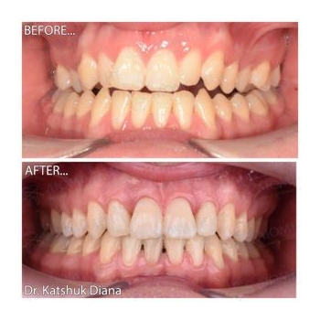
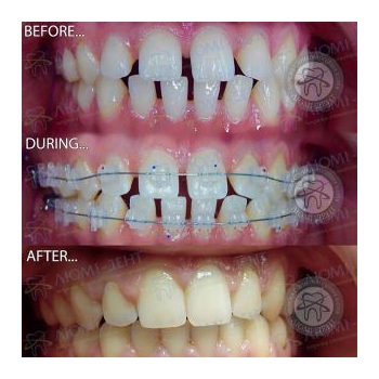
Фото до и после брекетов
Галерея фото лица до и после установки брекетов по месяцам - всегда пополняется.
Другие фото до и после брекетов (полных, частичных) у наших пациентов - можно увидеть на всех страницах сайта, посвященных исправлению неправильного прикуса.
Информацию обо всех видах технологий, применяемых нашими врачами ортодонтами - можно увидеть в разделе "Как сделать прикус правильным".
Фото лица до и после лечения керамическими брекетами для зубов в «Люми-Дент».
В клиниках Люми-Дент работают 11 опытных врачей ортодонтов, способных решить любые проблемы неправильного положения зубов.
Ниже ссылки на страницы различных видов брекетов:
Фото лица по месяцам до, а также после установки каждого вида брекетов на зубы - смотрите на вышеуказанных страницах.
Цену брекетов можно узнать по указанной ссылке.
Запишитесь на бесплатную консультацию в лучшие стоматологии Киева «Люми-Дент»!

