8:00 - 21:00
ru
6002

Профессиональная чистка зубов
Фото до и после

Клинический случай 1
Жалобы:
Неприятный запах из ротовой полости, периодическая кровоточивость десен, разрастание десен во фронтальной зоне.
Диагноз:
Хронический катаральный гингивит в стадии обострения.
Лечение:
Проведено наддесневой скейлинг ультразвуком, обработку порошком кальция, полировку щеткой с пастой, обработку десен озоном.
Клинический случай 2
Жалобы:
Кровоточивость при использовании ершиков.
Диагноз:
Хронический гипертрофический гингивит.
Лечение:
Проведена наддесневая чистка с помощью ультразвука, обработка (Air-Flow), полировка щеткой с пастой, антисептическая медикаментозная обработка, обработка озоном.
Клинический случай 3
Жалобы:
Наличие черного налета, периодическая кровоточивость десен.
Диагноз:
Хронический катаральный гингивит.
Лечение:
Проведена наддесневая гигиена с помощью ультразвука, воздушно-абразивная обработка с использованием порошка кальция, полировка резинками и щеткой с пастой, пародонтальная повязка с антисептическим гелем, обработка озоном, покрытие против чувствительности зубов.
Клинический случай 4
Жалобы:
Наличие пигментированного налета, неприятный запах, незначительная кровоточивость при использовании щеток средней жесткости.
Диагноз:
Хронический катаральный гингивит.
Лечение:
Проведение профессиональной гигиены полости рта с использованием ультразвукового скейлера (Sccaling), обработка порошком кальция, реминерализирующая повязка.
Клинический случай 5
Жалобы:
Кровоточивость десен во время чистки зубов, неприятный запах из полости рта (галитоз), изменение цвета зубов.
Диагноз:
Хронический катаральный гингивит.
Лечение:
Проведение профессиональной гигиены полости рта с использованием ультразвукового скейлера (Sccaling) и воздушно-абразивного аппарата (Air Flow), очистка и полировка, озонтерапия, коррекция домашней гигиены. Проведен подбор индивидуальных средств для гигиены ротовой полости, назначение антисептических и регенеративных препаратов.
Клинический случай 6
Пациентка О. 32 года.
Жалобы:
На кровоточивость десен, неприятный запах изо рта.
Диагноз:
Хронический катаральный гингивит верхней и нижней челюсти легкой степени.
Лечение:
Проведена профессиональная чистка зубов при помощи пьезоэлектрического скейлера и содоструйного аппарата (Air-flow). Проведена полировка зубов, и обучение по уходу за полостью рта. Подобраны средства индивидуальной гигиены полости рта.
Клинический случай 7
Жалобы:
Периодическая кровоточивость во время чистки и использования нити, темный налет на эмали.
Диагноз:
Хронический катаральный гингивит верхней и нижней челюстей.
Лечение:
Проведена ультразвуковая обработка, обработка воздушно-абразивным аппаратом при помощи порошка, полировка щеткой и пастой, резинками, обработка антисептическими растворами.
Клинический случай 8
Жалобы:
Темный налет на эмали, периодическая кровоточивость десен, застревание пищи между зубами.
Диагноз:
Хронический катаральный гингивит, легкая степень сложности в стадии обострения.
Лечение:
Обработка воздушно-абразивным методом при помощи порошка и полировка щеткой с пастой, обработка антисептическими средствами. Предназначены средства личной гигиены: межзубные щетки, флосс (зубная нить).
Клинический случай 9
Жалобы:
Невозможность почистить промежутки между зубами, наличие твердых отложений, неприятный запах изо рта.
Диагноз:
Хронический генерализованный пародонтит І степени сложности. Десна кровоточат при зондировании, гиперемированы, воспалены. Большое количество наддесневых и поддесневых отложений, постоянная кровоточивость десен.
Лечение:
Обработка воздушно-абразивным аппаратом, с использованием порошка глицин. Обработка пьезоэлектрическим ультразвуком, полировка щеткой и пастой. Рекомендовано дальнейшее лечение у пародонтолога. Назначен антисептик для домашнего полоскания ротовой полости.
Клинический случай 10
Жалобы:
На желтоватые зубы.
Диагноз:
Хронический катаральный гингивит.
Лечение:
Проведена комплексная чистка зубов, обработка воздушно-абразивным аппаратом, обработка пьезоэлектрическим скалером, отбеливание зубов при помощи системы Beyond. Предоставлены рекомендации по уходу после отбеливания.
Клинический случай 11
Жалобы:
Периодическая кровоточивость десен, увеличение десен в объеме, темный налет, галитоз (неприятный запах).
Диагноз:
Хронический локализованный пародонтит в стадии обострения, десна гиперемированы, воспалены, увеличены в размере, наличие темного налета, кровоточивость при зондировании.
Лечение:
Наддесневая чистка при помощи ультразвука и обработки содоструйным аппаратом (Air-Flow), полировка щеткой и пастой, антисептическая медикаментозная обработка, наложение пародонтальной повязки. Рекомендована замена средств индивидуальной гигиены, подбор абразивной пасты. Назначены антисептические препараты под контролем врача.
Клинический случай 12
Жалобы:
Наличие желтоватого налета, который пациент не может очистить зубной щеткой, периодическая кровоточивость десен.
Диагноз:
Скученность зубов нижней челюсти фронтального отдела, гиперемированные десны, кровоточащие при продувании воздухом, пигментированный желтоватый налет на всех зубах. Хронический катаральный гингивит.
Лечение:
Наддесневая чистка при помощи ультразвука и обработки содоструйным аппаратом (Air-Flow), полировка зубов щеткой и пастой, антисептическая медикаментозная обработка, наддесневой скейлинг ручными инструментами, обработка озоном. Рекомендована замена средств личной гигиены с добавлением монопучковой щетки.
Клинический случай 13
Жалобы:
Периодическая кровоточивость во время чистки щеткой средней жесткости.
Диагноз:
Наличие плотного минерализованного налета и камня, воспаление десневых сосочков в области между зубами 1.1, 1.2. Хронический катаральный гингивит.
Лечение:
Наддесневая чистка при помощи ультразвука и обработки содоструйным аппаратом (Air-Flow), полировка щеткой и пастой, антисептическая медикаментозная обработка, наддесневой скейлинг ручными инструментами, обработка озоном. Рекомендована замена средств личной гигиены, использование межзубных щеток.
Клинический случай 14
Жалобы:
Постоянная кровоточивость в боковом сегменте, наличие пигментированного налета и твердых отложений.
Диагноз:
Десны гиперемированные воспаленные, боковые участки десен увеличены в объеме, кровоточат при прикосновении. Хронический генерализованный пародонтит в стадии обострения.
Лечение:
Использование пьезоэлектрического ультразвука, обработка двумя видами порошка (кальций и глицин), полировка резинками, щетками, пастами. Медикаментозная обработка и пародонтальная антисептическая повязка. Рекомендовано назначение антисептического полоскания, полная замена щеток, зубных паст, межзубных щеток, использование ирригатора, обратиться за предоставлением необходимого лечения к пародонтологу.
Клинический случай 15
Жалобы:
Наличие пигментированного налета, периодическая кровоточивость десен.
Диагноз:
Хронический катаральный гингивит, наличие плотного минерализованного налета и камня, налет курильщика.
Лечение:
Наддесневая чистка при помощи ультразвука и обработки содоструйным аппаратом (Air-Flow), полировка щеткой и пастой, антисептическая медикаментозная обработка. Рекомендована замена средств личной гигиены, использование межзубных щеток.
Клинический случай 16
Жалобы:
Кровоточивость во время пользования ершиками.
Диагноз:
Хронический гипертрофический гингивит. Десны гипертрофированы, увеличены в размере, воспаленные сосочки десен, наличие наддесневых зубных отложений.
Лечение:
Наддесневая чистка при помощи ультразвука и обработки содоструйным аппаратом (Air-Flow), полировка щеткой и пастой, антисептическая медикаментозная обработка, обработка озоном. Рекомендована замена средств личной гигиены, использование ершиков, полоскание антисептическими растворами, использование антисептического геля в виде повязок.
Клинический случай 17
Жалобы:
Постоянная кровоточивость во время чистки, чувствительность зубов и десен, наличие отложений.
Диагноз:
Хронический генерализованный пародонтит легкой степени тяжести. Десна гиперемированы, воспалены, увеличены в размере, кровоточат при зондировании, наддесневой и поддесневой зубной камень, наличие рецессии на зубах 3.2, 3.1, 4.1.
Лечение:
Наддесневая чистка при помощи ультразвука и обработки содоструйным аппаратом (Air-Flow), полировка порошками (глицин и кальций), щеткой и пастой, антисептическая медикаментозная обработка, лечение десен аппаратом Vector. Рекомендована замена средств гигиены. Назначены антисептические ополаскиватели, также назначено медикаментозное лечение.
Клинический случай 18
Жалобы:
Наличие пигментированного налета, периодическая кровоточивость десен, желтые зубы.
Диагноз:
Хронический катаральный гингивит, наличие плотного минерализованного налета и камня, цвет эмали A3.
Лечение:
Наддесневая чистка при помощи ультразвука и обработки содоструйным аппаратом (Air-Flow), полировка щеткой и пастой, антисептическая медикаментозная обработка. Отбеливание зубов при помощи системы отбеливания Beyond. Рекомендована замена средств личной гигиены, использование ершиков.
Клинический случай 19
Жалобы:
Постоянная кровоточивость десен, наличие пигментированного налета и твердых наддесневых и поддесневых отложений.
Диагноз:
Хронический генерализованный пародонтит, средняя степень тяжести. Десны гиперемированы, воспалены, наличие рецессии, подвижность зубов первой степени тяжести.
Лечение:
Наддесневая чистка при помощи ультразвука и обработки содоструйным аппаратом (Air-Flow), полировка щеткой с пастой, антисептическая медикаментозная обработка. Проведена SRP-терапия (сглаживание и полировка поверхности корня зуба), биостимуляция десен лазером. Рекомендована замена гигиенических средств. Назначено полоскание антисептическими средствами.
Клинический случай 20
Жалобы:
Наличие темного налета на поверхности зубов с внутренней стороны, периодическая кровоточивость.
Диагноз:
Хронический катаральный гингивит. Десна гиперемирована, воспалена, наличие налета курильщика, наличие минерализованных твердых отложений.
Лечение:
Наддесневая чистка при помощи ультразвука и обработки содоструйным аппаратом (Air-Flow), полировка щеткой и пастой, антисептическая медикаментозная обработка. Рекомендована замена гигиенических средств. Назначено полоскание антисептическими средствами.
Клинический случай 21
Жалобы:
Наличие пигментированного налета, периодическая кровоточивость десен.
Диагноз:
Хронический катаральный гингивит, десна гиперемированы, наличие пигментированного налета.
Лечение:
Наддесневая чистка при помощи ультразвука и обработки содоструйным аппаратом (Air-Flow), полировка щеткой с пастой, антисептическая медикаментозная обработка. Рекомендована замена гигиенических средств. Назначено полоскание антисептическими средствами, назначено пасту.
Клинический случай 22
Жалобы:
Постоянная кровоточивость десен, наличие неприятного запаха, застревание пищи, выделение гноя в области между 3.1 и 4.1 зубами, подвижность зубов.
Диагноз:
Хронический генерализованный пародонтит в стадии обострения. десна гиперемированы, воспалены, увеличены в размере, кровоточат при зондировании, наличие наддесневых и поддесневых зубных отложений.
Лечение:
Наддесневая чистка при помощи ультразвука и обработки содоструйным аппаратом (Air-Flow), использование порошков (кальция и глицина), под местным обезболиванием проведено SRP-терапию (сглаживание и полировка поверхности корня зуба), пародонтальная повязка, полировка щеткой с пастой, антисептическая медикаментозная обработка. Рекомендована замена средств гигиены, контроль витамина D, урок гигиены, наддесневая гигиена один раз в три месяца.
Клинический случай 23
Жалобы:
Наличие пигментированного налета, периодическая кровоточивость десен, невозможность почистить между зубами флоссом (зубной нитью).
Диагноз:
Хронический катаральный гингивит. Десна гиперемирована, наличие пигментированного налета.
Лечение:
Наддесневая чистка при помощи ультразвука и обработки содоструйным аппаратом (Air-Flow), полировка щеткой и пастой, антисептическая медикаментозная обработка. Рекомендована замена гигиенических средств. Назначено полоскание антисептическими средствами, назначение пасты.
Клинический случай 24
Жалобы:
На наличие отложений и кровоточивость, невозможность прочистить промежутки между зубами, кровоточивость во время использования ирригатора.
Диагноз:
Хронический генерализованный пародонтит I стадии. Десна гиперемированы, увеличены в размере, десневые сосочки воспалены, наличие твердых наддесневых и поддесневых отложений.
Лечение:
Наддесневая чистка при помощи ультразвука и обработки содоструйным аппаратом (Air-Flow), использование порошка (кальция и глицина), полировка щеткой с пастой, антисептическая медикаментозная обработка, под местным обезболиванием проведено SRP-терапию (сглаживание и полировка поверхности корня зуба), пародонтальная повязка. Рекомендовано проведение Vector-терапии, урок гигиены, замена средств гигиены. Назначены антисептические растворы.
Клинический случай 25
Жалобы:
Наличие пигментированного налета, периодическая кровоточивость десен.
Диагноз:
Хронический катаральный гингивит. Десна гиперемирована в боковых участках, наличие пигментированного налета.
Лечение:
Наддесневая чистка при помощи ультразвука и обработки содоструйным аппаратом (Air-Flow), полировка щеткой с пастой, антисептическая медикаментозная обработка. Рекомендована замена гигиенических средств. Назначено полоскание антисептическими средствами, назначение пасты.
Клинический случай 26
Жалобы:
Кровоточивость во время чистки зубов, наличие камня, незначительная подвижность передних зубов.
Диагноз:
Хронический локализованный пародонтит легкой степени тяжести. Десны гиперемированы, увеличены. Наличие твердых минерализованных отложений.
Лечение:
Наддесневой скейлинг ультразвуком, обработка порошками (кальцием и глицином), использование ручных инструментов, антисептическая медикаментозная обработка пародонтальных карманов, пародонтальная повязка. Рекомендована замена гигиенических средств. Назначено полоскание антисептическими средствами.
Клинический случай 27
Жалобы:
Постоянная кровоточивость, наличие крупного камня, подвижность зубов.
Диагноз:
Хронический генерализованный пародонтит средней степени сложности. Десна гиперемированные воспаленные, увеличенные в размере сосочки. Подвижность зубов, кровоточивость при зондировании, наличие рецессии, наличие плотного минерализованного отложения, которое покрывает значительную часть коронки зуба.
Лечение:
Наддесневой скейлинг ультразвуком, обработка порошками (кальцием и глицином), использование ручных инструментов, SRP - терапия (сглаживание и полировка поверхности корня зуба) под местным обезболиванием, антисептическая медикаментозная обработка пародонтальных карманов, пародонтальная повязка. Рекомендована замена гигиенических средств. Назначено полоскание антисептическими средствами, пародонтальные домашние аппликации антисептическим гелем, медикаментозное лечение.
Клинический случай 28
Жалобы:
Постоянная кровоточивость десен, десна гиперемированы, воспалены, наличие камня, пациент курильщик.
Диагноз:
Хронический генерализованный пародонтит легкой степени сложности. Наличие большого количества наддесневых и поддесневых отложений, наличие рецессии.
Лечение:
Наддесневой скейлинг ультразвуком, обработка порошками (кальцием и глицином), использование ручных инструментов, SRP - терапия (сглаживание и полировка поверхности корня зуба) под местным обезболиванием, антисептическая медикаментозная обработка пародонтальных карманов, пародонтальная повязка, Vector-терапия, коррекция десен лазером. Рекомендована замена гигиенических средств. Назначено полоскание антисептическими средствами, пародонтальные домашние аппликации антисептическим гелем, медикаментозное лечение.
Клинический случай 29
Жалобы:
Постоянная кровоточивость десен, наличие твердых отложений.
Диагноз:
Хронический генерализованный пародонтит тяжелой степени сложности. Наличие большого количества наддесневых и поддесневых отложений, наличие рецессии, отложения заполняют коронки зубов на половину, подвижность II-III степени.
Лечение:
Наддесневой скейлинг ультразвуком, обработка порошками (кальцием и глицином), использование ручных инструментов, SRP - терапия (сглаживание и полировка поверхности корня зуба) под местным обезболиванием, антисептическая медикаментозная обработка пародонтальных карманов, пародонтальная повязка, проведение Vector-терапии, коррекция десен лазером, курс плазмолифтинга. Рекомендована замена гигиенических средств. Назначено полоскание антисептическими средствами, пародонтальные домашние аппликации антисептическим гелем, медикаментозное лечение.
Клинический случай 30
Жалобы:
Наличие пигментированного налета, периодическая кровоточивость десен.
Диагноз:
Хронический катаральный гингивит. Десна гиперемирована в боковых участках, наличие пигментированного налета.
Лечение:
Наддесневая чистка при помощи ультразвука и обработки содоструйным аппаратом (Air-Flow), полировка щеткой и пастой, антисептическая медикаментозная обработка. Рекомендована замена гигиенических средств. Назначено полоскание антисептическими средствами, замена пасты.

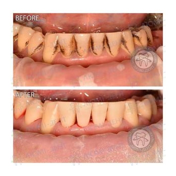
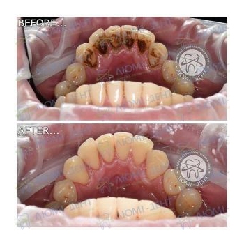
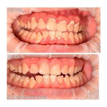
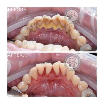
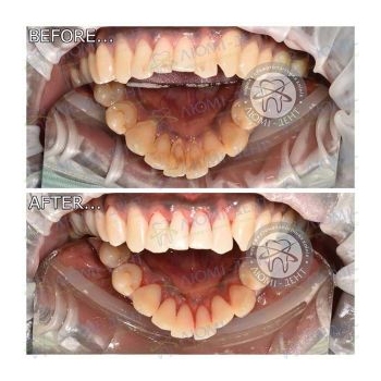
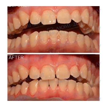
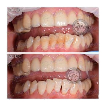
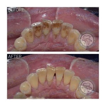
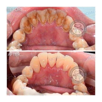
Фото до и после профессиональной чистки зубов от камня

На этой странице можно увидеть фотографии до и после гигиенической чистки зубов в ближайших стоматологиях «Люми-Дент».

Чистка производилась так:

Профессиональная чистка зубов нужна каждому человеку, старше 20 лет – один раз в каждые 6 месяцев.

Гигиеническая чистка зубов у стоматолога обеспечивает:

  • профилактику возникновения многих болезней зубов и десен;
  • здоровое дыхание без неприятного запаха изо рта;
  • хорошую улыбку.

Также гигиеническая чистка зубного камня поддерживает общее здоровье организма.

Все фото до и после чистки зубов сделаны у пациентов сети стоматологических клиник «Люми-Дент». 

 

Запишитесь сейчас на бесплатную консультацию!

 

Рекомендуем Вам просмотреть важные страницы нашего сайта:

Цены лечения зубов в Киеве

Отзывы о чистке зубов

4 голосов, оценка: 5 из 5
Дата создания: 08.09.2016
Дата изменения: 30.10.2024
Пока не поднялись цены - запишитесь на бесплатную консультацию! Пока не поднялись цены - запишитесь на бесплатную консультацию!
Это обязательное поле

Записаться на бесплатную онлайн консультацию