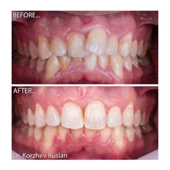
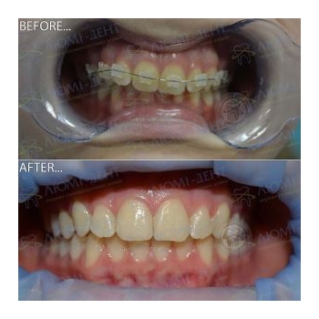
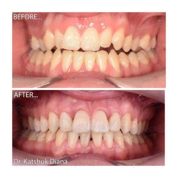
Выше можно увидеть фото до и после выравнивания неправильного прикуса у ортодонта пациентам «Люми-Дент».
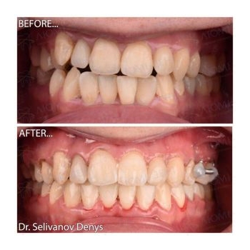
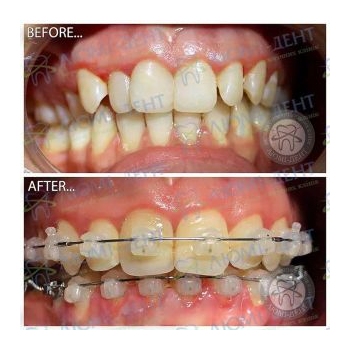
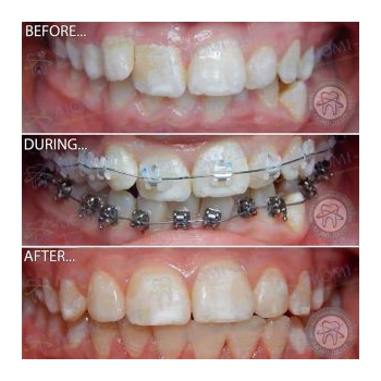
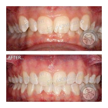
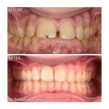
Другие примеры работ наших докторов, исправление прикуса зубов в Киеве, фото до и после:
Виды неправильного прикуса
Бывают такие виды неровного прикуса:
На что влияет неправильный прикус
Неровный прикус опасен тем, что оказывает негативное влияние на:
- Внешний вид лица;
- Речь;
- Пережевывание пищи;
- Осанку;
- Физическое и эмоциональное развитие организма.
Чем еще чреват неправильный зубной прикус - он часто приводит к системным заболеваниям:
- органов дыхания;
- желудочно-кишечного тракта;
- опорно-двигательной и других систем организма.
Кто исправляет прикус
В зависимости от ситуации в полости рта, и выбора метода лечения прикуса, с пациентом занимаются стоматологи таких специализаций:
- Ортодонты (чаще всего);
- Ортопеды (протезисты);
- Хирурги;
- Терапевты.
Как исправить неправильный прикус зубов у взрослых
В «Люми-Дент» предлагаются различные методики, исправляющие неровный прикус взрослым, помогающие выровнять зубы.
Выровнять неправильный прикус зубов взрослым возможно как у ортодонта, так и другими методами.
Как выровнять челюсть (зубной прикус)
- ортодонтическим лечением (брекеты, пластинки, элайнеры, трейнеры);
- у хирурга;
- протезированием;
- терапевтическим способом.
Цена исправления прикуса есть на странице услуг врача ортодонта.
Как исправить прикус зубов у ортодонта
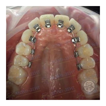
Для выравнивания прикуса в Киеве используются съемные ортодонтические пластинки, или несъемные брекет системы (их ставят взрослым).
Также применяют такие аппараты для лечения прикуса у ортодонта:
- Трейнеры;
- Биоблок;
- Твин Блок;
- Френкеля;
- С губным бампером;
- Съемные ортодонтические пластины;
- Эластопозиционеры;
- Каппы Easy Align, Invisalign.
Также часто, чтобы выровнять прикус, применяют комбинированный метод выравнивания зубов при неправильном прикусе (съемные ортодонтические аппараты и последующее лечение брекет системами).
То есть, пациент носит съемную пластинку, и после смены зубов - взрослому подростку уже одеваются брекеты.
Ортодонтический метод лечения прикуса прекрасно исправляет протрузию зубов, и другие виды неправильного смыкания.
Как исправляют прикус хирургическим методом (у хирурга)
Этот метод исправления неровных зубов используется преимущественно для взрослых пациентов, когда кости уже сформировались, и обычное лечение прикуса брекетами либо невозможно, либо займет слишком долгое время.
А человеку необходимо быстро получить красивую улыбку и ровные зубы. В этом случае выравнивать прикус будет хирург стоматолог в Киеве.
При этом методе исправления неровного прикуса хирургом используется хиругическое передвижение костных блоков (альвеолярные отростки с зубами).
Метод позволяет значительно сократить сроки и цену исправления прикуса для взрослого человека.
Однако хирургический метод выравнивания прикуса весьма травматичен, и может привести к значительным осложнениям.
Как лечить прикус зубов протезированием (винирами, коронками, мостами)
Как именно можно выровнять прикус протезированием - изготовлением несъемных мостов, виниров и коронок, с изменением осей наклона и расположения зубов.
Протезирование зубов позволяет добиться лечения прикуса винирами и коронками - в короткие сроки, однако применим в нечастом количестве случаев, и используется в основном для людей старше 23-25 лет.
Если передние зубы имеют плохой цвет или форму - исправление прикуса винирами не только выровняет зубной ряд, но и сделает его красивым.
Виниры выравнивают прикус отлично, но только передние зубы, и при не очень выраженных нарушениях окклюзии.
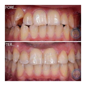
Фото до и после протезирования - исправление прикуса зубов в Киеве винирами пациенту «Люми-Дент», стоматология Позняки.
Исправление прикуса у взрослых терапевтическим методом
Как выровнять неправильный прикус без операции и протезирования? Исправлять прикус можно изменением наклона зубов, при помощи стекловолоконных штифтов и фотополимерных реставраций.
Метод используется у взрослых, и достаточно редко, ввиду низкой прочности и долговечности подобных конструкций.
Наиболее приемлемым, рекомендуемым, и полезным для всех - является ортодонтический способ лечения прикуса.
Наши врачи рекомендуют в первую очередь рассматривать именно ортодонтический вариант выравнивания прикуса брекетами, пластинками, капами.
Безопасность пациента и его комфорт — первое, на что делают ставку профессионалы «Люми-Дент».
В работе клиник используются только гипоаллергенные материалы, не способные вызвать в организме отторжение, негативную реакцию.
С одним пациентом часто работает команда врачей: терапевты, ортодонты, хирурги — чем сложнее случай, тем больше профессионалов в нем участвует, чтобы избежать возможных ошибок и исправить прикус максимально эффективно.
Фото. Работа врача ортодонта с пациентом клиники «Люми-Дент».
Как исправить прикус зубов в Киеве
Консультация врача ортодонта для взрослых в «Люми-Дент» бесплатная, необходимо только оплатить получение панорамного снимка челюстно-лицевой области (ортопантомограммы).
Данное обследование является обязательным условием правильной диагностики ситуации, и назначением эффективного исправления нарушенного прикуса ортодонтом.
Для серьезных нарушений зубного прикуса также потребуется сделать телерентгенографию (ТРГ снимок). Также это исследование делается непосредственно в наших клиниках.
Фото. Ортодонт с пациентом, после установки съемного аппарата (ортодонтической пластинки).
Преимущество обращения в «Люми-Дент», чтобы исправить неправильный прикус:
- Сеть центров, с локациями на Позняках, Соломенке и Оболони;
- 9 опытных стоматологов ортодонтов, с отзывами об исправлении прикуса, и примерами работ;
- Ортопантомограмма и телерентгенограмма прямо у нас;
- На сайте можете увидеть много видео отзывов наших взрослых пациентов, успешно прошедших ортодонтическое лечение пластинками, элайнерами, брекетами, винирами, коронками;
- Также на сайте Вы можете посмотреть много видео с ортодонтами, в которых они делятся с аудиторией информацией про современные технологии выравнивания прикуса, которые они ежедневно используют, чтобы выровнять зубные ряды, и сделать красивой улыбку;
- На этой странице, и в разделах каждой отдельной услуги выравнивания зубов - можно увидеть много фото прикуса до и после лечения неправильного зубного смыкания у подростков, людей в возрасте. Фото до и после исправления прикуса в Киеве брекетами, пластинками, капами, трейнерами;
- Собственная цифровая лаборатория для изготовления всех видов ортодонтических аппаратов;
- Полный ассортимент для комфортного и безболезненного лечения любых стоматологических проблем - надежная местная компьютерная анестезия, и легкая седация для устранения нервозности и страха (закисью азота). И, наконец, лечение под общим наркозом, как детям, так и клиентам старшего возраста. Все клиники имеют необходимую лицензию для таких манипуляций, у нас постоянно работают врачи анестезиологи;
- Отличные цены исправления прикуса взрослым, с накопительными скидками;
- И, наконец - приятная и дружественная атмосфера, профессиональное внимание и участие наших сотрудников, с момента переступания порога клиники, и до пожелания удачи после окончания лечения.
Не откладывайте проблему неправильного смыкания на потом!
Наши ортодонты подскажут - как исправить прикус зубов быстро и навсегда!
Запишитесь для исправления прикуса (брекетами, пластинками, капами, винирами, коронками, протезированием) - в клиники «Люми-Дент», на бесплатную консультацию!



